Чи можливе успішне стоматологічне лікування без точної та своєчасної діагностики? Звісно ні, адже, щоб ефективно усунути проблему, її спершу потрібно правильно визначити. Саме точність на етапі обстеження дозволить лікарю побачити повну картину стану зубів, ясен і кісткової тканини, а також приховані патології. Без сучасного обладнання якісна діагностика зубів Полтава була б неможливою. Лікареві доводилось би діяти навмання, що призвело б до ускладнень, а як наслідок, то й до зайвого втручання. В когось дана проблема так і залишилася б невирішеною.
Фахівці Palmyra Dent знають, що якісна діагностика – це запорука безпечного, ефективного й персоналізованого підходу до кожного пацієнта. Зважаючи на це, ми інвестуємо в сучасне цифрове обладнання. Воно дозволяє отримати максимально чітке зображення стану вашої ротової порожнини.
Які сучасні методи діагностики ми використовуємо в ПальміраДент
В клініці Palmyra Dent пацієнтам доступні найточніші та найінформативніші методи обстеження:
- Прицільний знімок – швидкий та точний спосіб оцінити стан конкретного зуба чи кореня.
- Цифрова панорамна рентгенографія (ортопантомограма) – дає цілісне зображення всієї щелепно-лицевої системи.
- 3D-сканування (комп’ютерна томографія зубів Полтава) – дозволяє отримати об’ємне зображення, що особливо важливо перед імплантацією, хірургічним втручанням чи складним лікуванням.
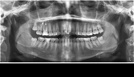
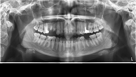
Цифрова панорама Полтава: широкий погляд на здоров’я порожнини рота
Що ви уявляєте, коли лікар говорить про ортопантомограму? Насправді, це знімок усієї зубощелепної системи, який охоплює обидві щелепи, гайморові пазухи та скронево-нижньощелепні суглоби. Таке оглядове фото дозволяє стоматологу отримати загальне уявлення про стан зубів, кісткових структур та навколишніх тканин.
Ортопантомограма Полтава є незамінною при первинній діагностиці, коли потрібно оцінити загальний стан ротової порожнини. Її призначають у наступних випадках:
- для виявлення прихованих каріозних уражень;
- для оцінки стану пародонту (ясен і кістки);
- перед ортодонтичним лікуванням;
- перед видаленням зубів мудрості;
- для моніторингу росту та прорізування зубів у дітей.
Цифрова панорама Полтава успішно використовується для первинної діагностики в момент першого звернення до лікаря, бо дозволяє виявити всі патологічні процеси в зубах, кістці, навколощелепних тканинах. Завдяки їй лікар не припуститься помилок під час планування й виконання складних ортопедичних робіт.
Діагностика зубів Полтава із застосуванням ортопантомограми має ряд переваг:
- швидке та безболісне обстеження (триває всього кілька хвилин);
- мінімальна доза опромінення – робить процедуру безпечною навіть для дітей;
- загальний огляд усієї порожнини рота на одному знімку – максимальна інформативність для стоматолога;
- можливість зберігання знімків у цифровому форматі для подальшого порівняння та динаміки лікування.








